
骨折
- 自転車のかごから落ちてしまった・・
- ソファーから飛び降りてから前足を地面に付かない・・
など交通事故に限らず小型犬はちょっとした事で骨折する事があります。
当院では動物の種類、年齢、体格、骨折の仕方に応じて
1.プレート固定(コンベンショナル、ロッキング)
2.ピンニング
3.創外固定
4.ギブス固定
などに対応しております。
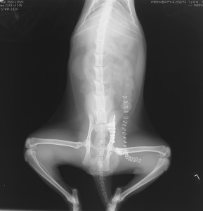
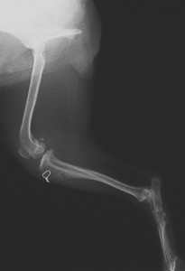
治療例
橈骨骨折(不適切な外固定により長時間放置された例)


上腕骨粉砕骨折 脛骨近位骨折

脛骨遠位骨折 大腿骨骨折

骨盤骨折

その他のよくある骨・関節疾患
膝蓋骨内方脱臼
膝を曲げ伸ばしする時に膝のお皿(膝蓋骨)が内側に外れてしまう(脱臼)病気です。
健康診断などで見つかる事が多いです。外れやすさの目安としてグレード分けされています。
グレード1 お皿を内側に押すと外れるが、手を離すとすぐに戻る状態
グレード2 膝を曲げ伸ばしする際、曲げた時に外れ、伸ばした時に戻る状態
グレード3 いつもお皿が外れている。伸ばしている時に手で戻せるが離すとすぐ外れる状態
グレード4 いつもお皿が外れている。手で戻せない状態
すべてが外科対応になる訳でなくグレード、症状によって
1.体重管理
2.関節サプリメント
3.消炎鎮痛剤
のみでも良好に付き合っていける事が多いです。
ただ、膝の関節炎、じん帯損傷、半月板(膝のクッション)損傷につながりやすくなるので
『後ろ足を上げる回数が急に増えた』『後ろ足をあげっぱなしで地面に着かない』
などがあれば早めにご相談ください。
グレード3膝蓋骨内法脱臼・前十字靱帯断裂・半月板損傷の症例
手術後

術前の膝蓋骨脱臼(赤円内)を滑車再建術、脛骨粗面転移術により整復しました。
手術前

手術後

前十字靱帯断裂により前方に突出した脛骨をナイロン糸による関節外法により安定化
グレード4膝蓋骨内方脱臼


赤円内に脱臼した膝蓋骨があります
本来であれば矯正骨切り術が必要ですが、成長期であれば骨切りをせず滑車再建、脛骨粗面転移のみである程度の形態異常を矯正し、歩行機能を改善することができます。
大腿骨頭壊死症(レッグ・ペルテス病)
原因は不明ですが大腿骨頭(後ろ足の付け根の部分)の血行が悪くなり
骨頭の壊死がおこる病気です。進行性の病気でなおかつ痛いので
1.後ろ足を着かなくなる
2.筋肉が落ちてくる
3.触ると嫌がる
などの症状で気づく事が多いです。
ヨークシャテリア、トイプードルなどの小型犬種に多い病気です。
*骨頭を切除しても周囲の筋肉により約2ヶ月くらいかけて歩けるようになります。
股関節脱臼
一般的には外傷性に脱臼することが多いです。
治療法として
・非観血的整復:患肢を牽引して脱臼を整復し、その後包帯固定
・観血的整復:トグルピン、関節包・股関節再建、骨頭切除など
当院では初めに非観血的整復を行い、再脱臼した子に観血的整復を行っていおります。方法としては関節包の再建と創外固定による一時的な股関節整復維持をお勧めしております。創外固定器具は2週間後に取ります。







